Galerija prej/potem
Težave z zobmi spremenimo v čudovite nasmehe

Z analiziranjem potreb in upoštevanjem želja ter finančnih zmožnosti vsakega pacienta iz dneva v dan ustvarjamo nove, čudovite in zdrave nasmehe. Zadovoljen in srečen obraz naših pacientov je naše največje priporočilo.
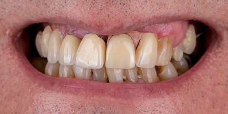
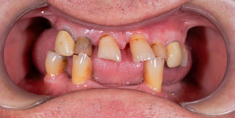
Kovinsko-keramične krone
Čas izdelave: 4–5 dni
Več o kovinsko-keramičnih kronahTemu pacientu so manjkali štirje zobje, ostali pa so bili v zelo slabem stanju. Po specialističnem pregledu, na katerem smo izvedli popolno diagnostiko in mu predstavili načrt zdravljenja, se je pacient odločil zobe nadomestiti z zobnimi vsadki, estetiko in funkcionalnost ostalih zob pa smo popravili s kovinsko-keramičnimi kronami.
![Slučaj 1: Prije ugradnje metal keramičkih krunica]()
![Slučaj 1: Nakon ugradnje metal keramičkih krunica]()
Kovinsko-keramične krone
Čas izdelave: 4–5 dni
Več o kovinsko-keramičnih kronahTa pacient je imel vnetje dlesni in težave z bruksizmom, zato so bili njegovi zobje v zelo slabem stanju. Po specialističnem pregledu in celoviti diagnostiki smo pacientu predstavili načrt zdravljenja in začeli s temeljitim čiščenjem in parodontološkim zdravljenjem vseh vnetih zob. Poslabšano estetiko in funkcionalnost smo nato popravili s kovinsko-keramičnimi kronami.
![Slučaj 2: Prije ugradnje metal keramičkih krunica]()
![Slučaj 2: Nakon ugradnje metal keramičkih krunica]()
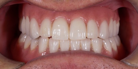
Cirkonij-keramične krone
Čas izdelave: 4–5 dni
Več o cirkonij-keramičnih kronahTa pacientka je želela izboljšati celotno estetiko in funkcijo svojih zob. Po natančni diagnostiki in pogovoru z našo ekipo strokovnjakov se je odločila za cirkonij-keramične krone, s katerimi so bili njeni zobje znova čudoviti in videti naravni.
![Slučaj 3: Prije ugradnje cirkon keramičkih krunica]()
![Slučaj 3: Nakon ugradnje cirkon keramičkih krunica]()
Cirkularni mostiček s cirkonij-keramičnimi zobnimi kronami
Čas izdelave: 4–5 dni
Več o cirkonij-keramičnih kronahTa pacient, ki je bil nezadovoljen zaradi poškodovanih zob in splošnega videza svojega nasmeha, je kot rešitev za obe čeljusti izbral cirkularni mostiček. Cirkularni mostiček tvorijo cirkonij-keramične krone, s katerimi smo vse zobe ene čeljusti združili v lep zobni niz.
![Slučaj 4: Prije ugradnje cirkularnog mosta i cirkonskih krunica]()
![Slučaj 4: Nakon ugradnje cirkularnog mosta i cirkonskih krunica]()
Cirkonij-keramične krone
Čas izdelave: 4–5 dni
Več o cirkonij-keramičnih kronahPacientka ni bila zadovoljna z videzom, barvo in obliko svojih zob. Ko smo izvedli popolno analizo in diagnostiko njene dentalne situacije, smo odpravili estetske in funkcionalne težave z vgradnjo cirkonijevih kron, ki smo jih hitro izdelali v našem zobotehničnem laboratoriju. S tem so bili pacientkini zobje znova videti naravni, na obraz pa se ji je vrnil čudovit nasmeh, ki ga je dolgo skrivala.
![Slučaj 5: Prije ugradnje cirkon keramičke krunice]()
![Slučaj 5: Nakon ugradnje cirkon keramičke krunice]()
Naročite se na brezplačen specialistični pregled
Rezervirajte termin, ki vključuje brezplačen specialistični pregled ustne votline, posvet z zobozdravnikom, izdelavo načrta zdravljenja in cenovno ponudbo potrebnih tretmajev v skladu z vašimi željami in zmožnostmi.









